


Before. continue http://www.wretch.cc/blog/V6beautyPUNK/6994446
Patient complained that the over-jet was too pout and the over-bite was too long ,however the shade is good.
Unfortunately it is difficult to adjust that only reduce the length of incisor edge or bring it back a little bit.
If I do that the incisor halo effect will be destroy, so I have to cutback from the zero then rebuild .

After cut-backed , staining for the base shade and incisor character.

Using Tl1 for wash bake.



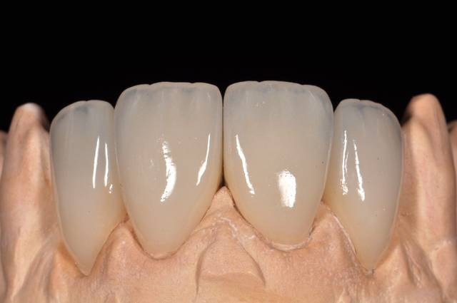
Finished.
Mixture of OE1 ,T-blue and TC for opal effect.
IE and OE3 for halo effect
Mixing TC and TI1 to cover incisor third,
TN and Tl2 cover middle and cervical third.

New.


2 意見:
關於上述問題因為也有朋友詢問所以就一併公開回答。
⒈內染完wash firing的目的是將內染與washing兩個步驟結合在一起減少一次進爐的時間。
⒉內染是用Emax的stain。
感謝提出問題討論。
步驟是先用glaze plate塗在copping上接著stain然後灑上porcelain powder.
張貼留言