Beauty Smile Life
by 天野齒 Arteeth Studio
首頁
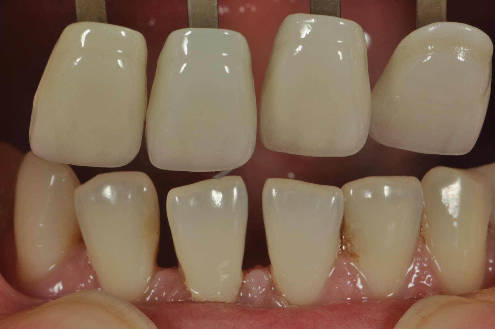
Multilayered Zirconia Crowns 06/2015
2015年6月21日 星期日
於
清晨6:14
0 意見
Tweet
The Mamelon created by In-nova direct stain.
0 意見:
張貼留言
首頁
訂閱:
張貼留言 (Atom)
Leo Liao / Taiwan. 技術提供:
Blogger
.
Translate
Popular posts
畢業前該學會的基礎刻蠟技巧 (The Basics of Wax up Technique )
Ivoclar model. 前言: 有感20年來台灣牙技學校專業教育失衡,經四年或五年的牙技學校訓練畢業,當社會新鮮人投入臨床工作之際仍普遍不具即戰力,導致期待之薪資與現實嚴重差距。 有鑑於此分享澳洲與日本當今的牙技教育資訊。在進入澳洲的某些牙技學校前,必須先...
Next Stop: Australia 澳洲打工度假(牙技專門版)
夢想開始 記得學生時代打工的技工所牆壁上掛著創造Noritake瓷粉的日本名師"坂 清子"寫的一行勉勵的話:「環遊世界是齒科技工的特權。」一直把它懸在心裡頭,現在想想的確如此,身為一個牙技師是如此幸運的一件事,有了這樣專業的技 術,到世界的任何地方都可能生存下...
Wow Wax : The essence of coloured wax.
Wo w Wax: The essence of coloured wax Introduce T here are many dental technicians studying how to create life-like porc...
那一年學校沒有教的事 ---- 自然牙解剖實驗
學生時代至今, 從石膏棒刻到快推滿家裡車庫來看相信大家對牙齒的解剖形態都有一定深度的認知;不過這僅是外在的認識,換句話說我們只學到九陰真經的一半,那剩下的那一半是什麼?深厚的內功!沒錯即是了解牙齒的內部構造並且有能力將其再現化。要達到所謂的審美修復須有形態和色調上完...
StArt the Colour Wax Taiwan臺灣 15/06/14
再次感謝學會的邀請以及各位牙技朋友盛情參與以及很榮幸地在熟悉又親切的林錫禎主任引言下,展開色蠟奧義的序曲,時光拉回到2004 18歲的夏天,在林老師的帶領下和正偉同學前往老師的母校日本長崎齒科專門學校開使了一個月的見習之旅,當第三天老師...
Beauty Smile Life
睽違4年,前幾天一位醫師告訴我,他找資料時竟然發現這邊紀錄著年輕時Leo種種的熱血與理想,於是我想繼續保持那股熱血與衝勁(教練我想繼續打籃球!泣!),決定讓部落格繼續更新! 首先是個人相當滿意的一組為貼片微整型的案例。患者原本牙齒看起來短小,牙齒切端間的黑三角明顯,牙齦肉出較...
Favourites
Claude sieber
Hiro' s blog
Nondas
Odanaka yasuhiro
Oral facial arts
Team aesthetic
Tof 's blog
Ubassy
World lab U.S.A.
Yi-Yuan Chang
渡邊一史's blog
關錦二郎's blog Japan
Search
首頁
Labels
自然筆記
(7)
赤子之心
(4)
放輕鬆
(39)
旅行生活
(12)
筆記本
(4)
熱血牙技
(28)
澳洲旅遊
(11)
Art Design
(3)
Color Wax
(28)
Ultimate Evolution
(90)
Uncategoried
(1)
Blog archive
►
2021
(1)
►
1月
(1)
►
2016
(6)
►
2月
(5)
►
1月
(1)
▼
2015
(27)
►
11月
(2)
►
10月
(6)
►
7月
(1)
▼
6月
(4)
Multilayered Zirconia Crowns 06/2015
Maxillary Screw-retained implant bar with Zirconia...
E.max press MO0 with LiSi
Zirconia single crown with build up process step b...
►
5月
(3)
►
4月
(4)
►
3月
(2)
►
2月
(3)
►
1月
(2)
►
2014
(27)
►
11月
(7)
►
10月
(2)
►
8月
(6)
►
7月
(3)
►
4月
(4)
►
3月
(2)
►
2月
(2)
►
1月
(1)
►
2013
(34)
►
12月
(3)
►
11月
(3)
►
8月
(2)
►
7月
(6)
►
6月
(3)
►
5月
(3)
►
3月
(3)
►
2月
(4)
►
1月
(7)
►
2012
(63)
►
12月
(3)
►
11月
(14)
►
10月
(7)
►
9月
(11)
►
8月
(18)
►
7月
(2)
►
5月
(1)
►
3月
(2)
►
1月
(5)
►
2011
(13)
►
8月
(1)
►
6月
(1)
►
5月
(2)
►
4月
(2)
►
3月
(4)
►
2月
(2)
►
1月
(1)
►
2010
(6)
►
12月
(5)
►
11月
(1)
►
2009
(37)
►
9月
(2)
►
8月
(1)
►
7月
(5)
►
6月
(3)
►
5月
(2)
►
4月
(4)
►
3月
(7)
►
2月
(5)
►
1月
(8)
►
2008
(37)
►
12月
(7)
►
11月
(7)
►
10月
(3)
►
9月
(3)
►
8月
(4)
►
6月
(2)
►
5月
(4)
►
4月
(2)
►
3月
(2)
►
2月
(1)
►
1月
(2)
►
2007
(29)
►
12月
(3)
►
11月
(6)
►
10月
(10)
►
9月
(10)
About Me
Leo Liao
天野是一種崇尚自然的浪漫與態度 用師法自然的職人精神 全神灌注刻畫出每一顆牙齒的細節 恢復自然的風采 同時兼具功能與精密性 假牙不再是假牙 也是一種藝術工藝 讓您再一次自信的微笑
檢視我的完整簡介
Hello !
©Copyright 2011
Beauty Smile Life
|
TNB
0 意見:
張貼留言